SURVIVER OF SEVERE COVID 19 WHO REQUIRED VENTILATOR SUPPORT

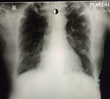
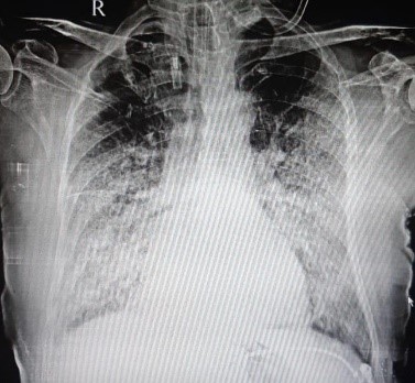
Mr M, 78 years was admitted under my care for the treatment of severe COVID 19. His oxygen level was very low on admission. If left unsupported, he would worsen dangerously. He needed high quantity of oxygen with special type of mask. His condition remained same for next two days. However on the evening of the third day I found him breathing rapidly. He complained that he spit blood in sputum so all forms of blood thinning medicines were stopped. Theses medicines are given to patients of severe COVID to prevent unwanted blood clotting. Late evening he complained of difficulty in breathing. On examination he was distressed. He was given non-invasive ventilator i.e. ventilator support with mask but he could tolerate it for few hours nothing was working for him. His condition deteriorated further with severe distress and mismatch with ventilator leading to fall in oxygen levels. I intubated i.e. inserted a tube in his wind pipe and kept him on ventilator. His X ray chest showed extensive shadows covering almost two third of the lung fields. COVID had badly affected his lungs and it was impossible for him to breathe on his own. He was managed with ventilator. His lungs were very stiff. For next three to four days he remained critical. However as the days passed his lung compliance improved. His X ray chest showed remarkable improvement. His ventilator support was reduced. He was given a challenge of self-breathing a day after his parameters improved. He did well and the tube that was kept in his wind pipe through his mouth for providing mechanical ventilator support was taken out. Now he was able to breathe on his own i.e. without any artificial support. His condition kept improving thereafter. He recovered well and discharged from the hospital

BEFORE
AFTER
SEVERE DISEASE
Avatar
Dr. Harshal Thaker
Critical Care Specialist