Old Age, Diabetes and Severe COVID With Ventilator Support

A 72 years old lady was admitted under my care with complains of fever since 6 to 7 days and breathlessness worsening breathing since last two days. Initially she responded to supplemental oxygen. However one evening she had severe difficulty in breathing and worsened weakness. She was shifted to ICU. She remained marginally stable overnight but deteriorated in the morning. Her breathing was laborious and her oxygen level was falling rapidly. It was not manageable on BIPAP too. Risk of death was many fold high as she was old, fragile, diabetic and suffering from Severe COVID. She was immediately intubated (a pipe was inserted through her mouth in to her wind pipe) and kept on ventilator. But that was not the end of her troubles. She developed sever fall of her blood pressure. Her blood investigations suggested fall in her hemoglobin to 6.5%. She had no abnormal bleeding from digestive tract and there was no external bleeding. Critically ill COVID patients can develop abnormalities of blood clotting that may cause life threatening bleeding. Well, her blood clotting was normal and her platelet counts were adequate. Sonography of abdomen to look for concealed blood clot in abdomen did not reveal anything. Her blood pressure was falling rapidly. Rapid fall in blood pressure was potential killer for her if not treated promptly. Immediately blood pressure raising medicines were started. Over the time she needed higher and higher doses of blood pressure raising medicines. She was provided blood products on emergency bases. Her kidney functions also deteriorated next morning. Her condition was going down rapidly. Aggressive treatment with blood products and life support could barely maintain her life. She remained very critical for almost one week. After a week her blood pressure and oxygen stabilized. Another sonography was performed after a week revealed a big clot in the muscle plain of abdomen. Eventually her kidney functions also improved. After fighting a fierce battle of life for almost ten days she improved and was weaned from ventilator. She was too weak to sit in bed without support. With continuous rehabilitation she kept improving and was transferred to ward after two weeks of ICU stay. Later on she was discharged from hospital. With planned of physiotherapy at home she is now able to stand and walk few steps with support.

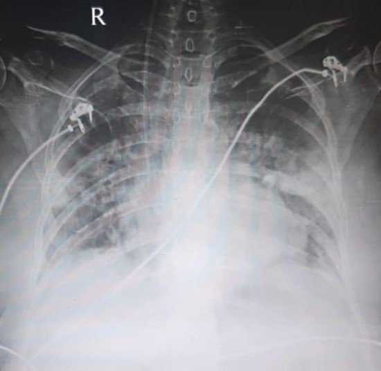
Severe Disease
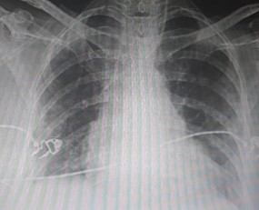
X ray On Discharge
Avatar
Dr. Harshal Thaker
Critical Care Specialist