Critical COVID 19 with Pregnancy

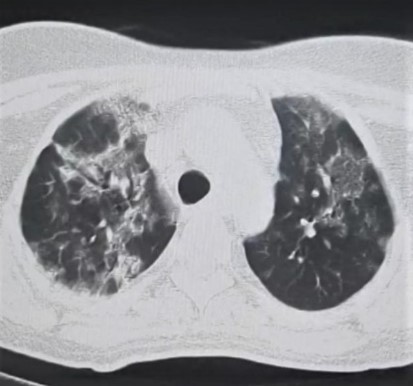
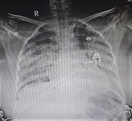
A 37 years old female was brought to me with complains of fever, weakness and breathlessness on exertion. After twelve years of married life she was conceived by the procedure of Invetro Fertilization. This was her first pregnancy and the family was overwhelmed with joy. The baby in her womb was normal. Just one week before the due date of delivery she was found COVID 19 positive. Initially she took treatment at home as the symptoms were mild but her condition worsened and they approached to me for expert opinion. Her oxygen saturation was 89 to 93% on arrival. She had mild fever and she was breathing fast at a rate of 26 breaths per minute. She got admitted under my care and treatment of COVID 19 was initiated as per standard protocol. Her oxygen levels improved after providing oxygen and her fever also reduced. After one day of stabilization, at night her oxygen levels fell again and she needed higher quantity of oxygen. Her condition kept deteriorating in spite of all efforts and early morning she was kept on noninvasive ventilator support, popularly known as BIPAP. To add more in to the difficulty, her membrane got ruptured and per-vaginal leaking started. Initially her gynecologist had planned delivery of the baby after one week due to her COVID ailment but now it was an emergency. Her gynecologist refused to do cesarean section and deliver the baby. The emotions of joy was now overpowered by psychological tension and stress. Immediately another gynecologist was contacted. Fortunately she agreed to handle the case. By now mother was very sick. Her oxygenation was barely maintained at 94% with high pressure and 100% oxygen provision by ventilator. There was high possibility of death on operation table or immediately after delivery. With all preparations she was taken for the operation. A healthy baby was delivered successfully. She could bare the operation but as anticipated before, her oxygenation became critical after the surgery. After intensive efforts of many hours, her oxygen level stabilized only in early morning. Her blood pressure kept fluctuating for another four to five days and oxygen level remained critically low. First week after the delivery was a roller coaster ride. It took two weeks to stop her ventilator support. She was now able to sit with support and eat soft diet. But life was not an easy bargain for her. She was just recovering from this deadly event and one morning she complained to me that she was feeling weak and had chills. Her oxygen level again fell to 89 % though being on oxygen and her blood pressure also dropped. I had to increase her oxygen support and had to start medicines to increase her blood pressure. This happened due to possible secondary infection. Her blood investigations revealed that she was infected by pan-drug resistant klabsiella pneumonie bacteria. If not acted promptly they would have rapidly destroyed her organs. Antibiotics were given to cover these bacteria. She had multiple spikes of fever and her oxygen status remained fluctuating. After four days of meticulous care her oxygen level improved again. However by now she was very weak and dependent on support for her daily activities. Her oxygen requirement reduced after three days and I shifted her to room. Her parameters remained stable during her room stay. After a long stay of one month she was discharged with minimal supplemental oxygen. She is now recovering well at her home.

X-Ray
Initial HRCT
On discharge HRCT
Avatar
Dr. Harshal Thaker
Critical Care Specialist